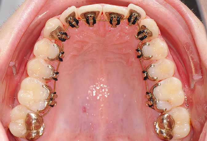
ارتودنسی از داخل دندان ها ( ارتودنسی لینگوال )

لغت لینگوال   (Lingual)به معنی زبان می باشد و منظور از ارتودنسی          

لینگوال این است که در این روش سیم و براکتها (نگین ها) در سمت داخلی

دندان ها (سمت زبانی دندانها) چسبانده می شود و لذا دستگاه ارتودنسی از

بیرون دیده نمی شود.

 

مزایا

  1. عدم دیده شدن سیم و براکت از نمای بیرونی و معلوم نبودن دستگاه ارتودنسی
  2. مؤثر تر بودن این روش در انجام حرکات دندانی در مقایسه با دیگر روش ارتودنسی نامرئی (Invisialign)
  3. مناسب برای بیمارانی که اصلا نمی خواهند دستگاههای ارتودنسی آن ها دیده شود(معمولا بزرگسالان).

معایب

  1. نیاز به چند هفته زمان جهت تطابق بیمار بخصوص تطابق زبان با سیم وبراکت های چسبیده شده در سطح داخل دندان ها
  2. امکان تداخل با تکلم بیمار
  3. مراحل درمانی سخت و طولانی در مقایسه با روش های دیگر
  4. عدم امکان انجام درمان ارتودنسی همراه با جراحی فک در این روش
  5. قیمت بسیار بالا (حدود 10 هزار دلار)

در این روش بعد از ثبت قالب های بسیار دقیق از دهان بیمار و ارسال آن به لابراتوار های مخصوص سازنده سیم و براکتهای مخصوص ارتودنسی لینگوال، براکت ها با روش های بسیار دقیق کامپیوتری بر روی سطوح داخلی دندان ها طراحی و جهت انطباق بیشتر روی سطح دندانها با تکنیک دیجیتالی (روش CAD/CAM ) و معمولاً از جنس آلیاژ طلا ساخته می شود. سیم های مورد نیاز جهت این روش نیز معمولاً با تکنیک بسیار پیشرفته و به کمک روبات ساخته می شود.

اطلاعات تماس

Copyright © 2017 Plusnet.ir Industries All Rights Reserved.