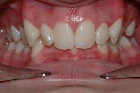
دراین نوع ناهنجاری در اکثر موارد دندان های فک بالا و پایین همپوشانی بیش از حدی دارند و در بعضی موارد شدید ممکن است دندان های یک فک بیمار به دلیل پوشش بیش از حد توسط دندان های فک مقابل ممکن است اصلا دیده نشوند.
همپوشانی بیش از حد دندان ها معمولاً در ناحیه دندان های جلویی (دیپ بایت قدامی) و در موارد نادری در ناحیه دندان های خلفی مشاهده می شود.
همپوشانی بیش از حد دندانها نیز ممکن است همراه با سایر ناهنجاریها 
بخصوص ناهنجاری کلاس ۲ دیده شود. در مواقعی که فک پایین کوچک
و عقب تر قرار دارد ممکن است دندانهای فک پایین تا ایجاد تماس با دندانهای
بالا رویش بیابند که منجر به افزایش همپوشانی دندانها شود.در موارد بسیار
شدید حتی ممکن است دندانهای فک پایین بقدری رویش بیابند که حتی با کام
تماس پیدا کنند و حتی گاها ممکن است اصلا درحین بستن دندانها دندانهای فک
پایین دیده نشوند.
علت
عوامل ارثی و ژنتیکی مثل رشد فک بالا و پایین به سمت همدیگر، کاهش ارتفاع تحتانی
صورت و یا کوچک بودن بیش از حد فک پایین و یا عوامل دندانی مثل رویش بیش از حد
دندان های جلویی یا رویش کمتر از حد نرمال دندان های عقبی
عوارض
درمان
برحسب علت ( فکی و یا دندانی ) ، شدت و سن بیمار ، درمان های متنوعی می تواند داشته باشد که شامل موارد زیر است:
در کودکان و نوجوانان در حال رشد: تسهیل رویش دندان های خلفی و ممانعت 
از رویش دندان های جلویی با پلاک های مخصوص و یا درمان ارتودنسی
در افراد بالغ: درمان ارتودنسی با ترکیبی از رویش دندان های عقبی و یا فرو بردن
دندان های قدامی که دچار رویش بیش از حد شده اند .
در موارد شدید ممکن است نیاز به درمان ارتودنسی همراه با استفاده از
پیچهای مخصوص ( Miniscrewe ) و یا ارتودنسی همراه با جراحی فک باشد.