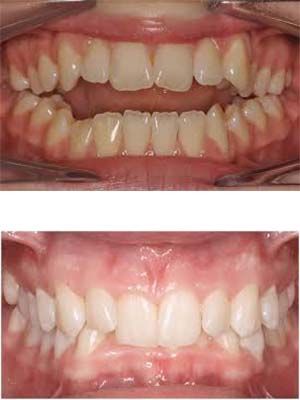
یکی دیگر از انواع ناهنجاریهای دندانی – فکی ناهنجاریهای مربوط به همپوشانی دندانها است. در حالت نرمال دندانهای فک بالا باید ۱ تا ۲ میلیمتر از دندانهای
فک پایین را پوشش دهند.

همپوشانی نرمال دندانها به میزان ۱ تا ۲ میلیمتر
در صورتی که این همپوشانی افزایش یابد ناهنجاری همپوشانی بیش از حد دندانها یا دیپ بایت در فرد وجود دارد.
در صورتی که این همپوشانی کمتر بوده و یا حتی بین دندانها فاصله وجود داشته باشد ناهنجاری اپن بایت در فرد دیده می شود.
شکل سمت راست ناهنجاری دیپ بایت و سمت چپ ناهنجاری اپن بایت را نشان می دهد.

ناهنجاریهای مربوط به همپوشانی دندانها می تواند به تنهایی و یا همراه با سایر ناهنجاریهای دندانی- فکی مثل عقب و جلو بودن فکین و یا .... در فرد وجود داشته باشد بعنوان مثال در بسیاری از افرادی که فک پایین آنها عقب و یا کوچک است ممکن است همپوشانی بیش از حد دندانی نیز دیده شود.
جهت کسب اطلاعات بیشتر در مورد هر کدام از ناهنجاریهای همپوشانی زیاد و یا کمتر از حد دندانها روی نام ان در بالای صفحه کلیک نمایید.