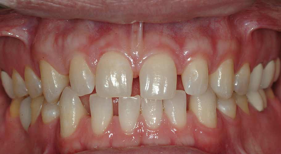
وجود فاصله بین دندان ها ( Dental spacing )

وجود فاصله بین دندانهای  جلویی و در مواردی کل دندان ها جزء دیگر ناهنجاری های ارتودنسی است که ضمن ایجاد مشکل زیبایی برای بیمار ممکن است باعث ایجاد مشکلات تکلمی و یا در مواردی بیماری های لثه ای شود.

 

علل ایجاد فاصله بین دندان ها:

۱) مرحله تکاملی طبیعی: معمولاً وجود فاصله کمتر از2 میلی متر بین دندان های جلویی کودک جزئی از مراحل تکامل طبیعی گذر از سیستم دندانی شیری به سمت دندان های دائمی است و تا این حد فاصله معمولاً با رویش دندان های نیش دائمی کودک خود به خود اصلاح می شود و نیازی به مداخله تا بعد از رویش دندان های نیش دائمی کودک نخواهد بود.

۲) سایز کوچک دندانها و یا بزرگ بودن بیش از حد قوس فکی

۳) سایز بزرگ زبان

۴) وجود بیماری های لثه و تحلیل استخوان که سبب جا به جایی دندان ها و ایجاد فاصله بین آن ها می شود.

۵) کشیدن دندان های دائمی و بهم خوردن قوس دندانی

۶) وجود بافت لبی چسبنده و ضخیم ( فرنوم ) که بین دندان های قدامی نفوذ کرده است.

۷) وجود دندان های اضافی

درمان: بسته به عامل و شدت و نظر متخصص ارتودنسی درمان می تواند شامل موارد زیر باشد .

  1. درمان بستن فضای بین دندان ها توسط درمان ارتودنسی
  2.  بزرگ نمودن سایز دندان ها با روش های ترمیمی و روکش
  3. ترکیبی از درمان ارتودنسی و ترمیمی

توصیه می شود قبل از تصمیم گیری راجع به انتخاب درمان مناسب در این بیماران حتما با متخصص ارتودنسی مشاوره نمایید. نکته مهم دیگر این است که بعد از بستن فضا توسط ارتودنسی جهت جلوگیری از باز شدن مجدد فضاهای بین دندانی بهتر است از نگه دارنده های ثابت در پشت دندان ها استفاده شود.

ویدئوی نحوه بستن فضا ی بین دندانها با کشهای زنجیری در ارتودنسی ثابت

اطلاعات تماس

Copyright © 2017 Plusnet.ir Industries All Rights Reserved.