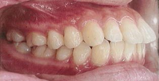
بیرون زدگی دندان های هر دو فک ( Bimaxillary dentoalveolar protrusion ) ویا بیرون زدگی دندانی یکی از فکین ممکن است در بعضی بیماران مشاهده شود.
بیرون زدگی دندانهای هردو فک
در صورتیکه دندان های فک بالا و پایین هر دو بیرون زده باشند ممکن است عوارض زیر ایجاد شود:
درمان
در صورتیکه دندان های هر دو فک بیرون زده باشند معمولاً
جهت برطرف نمودن این وضعیت ۲ دندان آسیای کوچک از فک بالا و
۲ دندان آسیای کوچک فک پایینی کشیده شده و دندان ها به سمت عقب
و به فضای ایجاد شده برده خواهند شد که باعث بهبود بیرون زدگی دندانها
اصلاح وضعیت لبهای بیمار یعنی رسیدن لبها به یکدیگر در وضعیت
عادی و اصلاح بیرون زدگی آنها خواهدشد.
ویدیوی نحوه عقب بردن دندانهای بیرون زده بعد از کشیدن دندان با ارتودنسی ثابت
بیرون زدگی دندان های یکی از دوفک
بیرون زدگی دندانهای یکی از فکین که بطور شایع تردر فک بالا مشاهده می شود ممکن است به یکی از دلایل زیر باشد:
۱) بیرون زدگی صرفا دندانی ( بدون درگیری فکین )
۲) مشکلات فکی: جلو بودن کل فک بالا یا کل فک پایین همراه با دندانها
عوارض

۱) ظاهر نازیبای دندانی
۲) احتمال بیشتر برای وارد شدن ضربه به دندانهای بیرون زده وایجاد
صدمه و شکستگی در دندانها
درمان
در صورتی که علت بیرون بودن دندانها مشکلات فکی نباشد و صرفا دندانی باشد، برحسب سن بیمار و شدت بیرون زدگی دندانی ممکن است درمان با یا بدون کشیدن دندان صورت گیرد و در صورت درگیری فکین بر حسب سن و شدت مشکل و ... درمان متفاوت خواهد بود که در قسمت مربوط به جلو یا عقب بودن فکین به آن اشاره شده است.