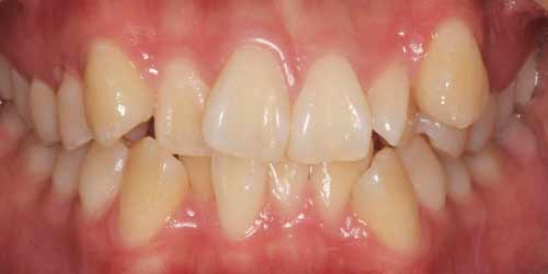
نامرتبی دندانها ( Crowding )

شایع ترین ناهنجاری ارتودنسی که اکثر بیماران را ترغیب به انجام درمان ارتودنسی می کند نامرتبی دندانها می باشد.

عوارض نامرتبی دندانها :

  1. بهم خوردن زیبایی لبخند و کاهش اعتماد به نفس در بسیاری از افراد به هنگام لبخند زدن
  2. سختتر شدن رعایت بهداشت به دلیل عدم دسترسی مسواک به سطوح دندان های نامرتب و امکان ایجاد پوسیدگی و بیماری لثه
  3. اختلال در جویدن و تکلم در بعضی موارد
  4. امکان ایجاد تداخلات دندانی و انحراف فک بیمار در مورد بعضی از انواع نامرتبی های دندانی

علل نامرتبی دندان ها:

  1. عوامل ارثی : در موارد نامرتبی های شدید دندانی عوامل ژنتیکی مثل کوچک بودن قوس فکی یا بزرگ بودن بیش از حد دندان ها دخیل هستند.
  2. عوامل محیطی : مثل از دست دادن زودتر از موعد دندان های شیری که در مواردی باعث از دست رفتن فضای دندان های دائمی و نامرتبی دندانهای در حال رویش می شود.
  3. اختلالات رویشی دندان ها

درمان:

 فاکتور های متعددی در درمان نامرتبی دندان های هر بیمار دخیل هستند که از جمله ی آن ها می توان به میزان و شدت نامرتبی دندان ها، وضعیت برجستگی لب ها، نیمرخ بیمار ، برجستگی چانه و بینی بیمار ، زاویه دندان ها و بیرون زدگی یا عقب بودن دندان ها، وجود ناهنجاری های فکی (اسکلتی) علاوه بر نامرتبی دندانها  و در نهایت خواسته های بیمار اشاره کرد.

 روش های درمانی موجود برای اصلاح نامرتبی دندانها :

معمولاً متخصصین ارتودنسی با بررسی فاکتور های متعدد و با تجربه خود  درمان ارتودنسی بدون کشیدن یا با کشیدن دندان را برای رفع نامرتبی دندانها انتخاب می کنند.

در موارد ارتودنسی با کشیدن دندان معمولاً دندان های آسیای کوچک کشیده می شوند. توجه شود که مقداری از فضاهای باقیمانده از کشیدن دندانها  صرف ردیف شدن دندانها شده و مابقی فضاهای باقیمانده ( در صورت اضافه ماندن فضا )  توسط روشهای مختلف  در طی روند درمان بسته می شود.

ویدئوی نحوه بستن فضای حاصل از کشیدن دندانها در ارتودنسی ثابت

 

در مواردی که درمان ارتودنسی بدون کشیدن دندان جهت اصلاح  نامرتبی دندانها  توسط متخصص انتخاب می شود  فضا به دو طریق وسیع نمودن ( بزرگ کردن قوس دندانی ) و یا برداشت از مینای بین دندانها (استریپینگ) تامین می گردد.

ویدئوی نحوه برداشتن از مینای بین دندانها (استریپینگ) جهت تامین فضای لازم برای ردیف نمودن دندانها

ویدئوی نحوه  تامین فضای  لازم برای ردیف نمودن دندانها توسط فنرهای مخصوص باز کننده فضادر ارتودنسی ثابت 

اطلاعات تماس

Copyright © 2017 Plusnet.ir Industries All Rights Reserved.