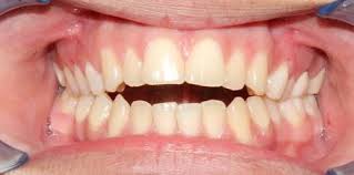
عدم وجود همپوشانی بین دندان ها معمولاً در ناحیه ی دندان های 
جلویی ( اپن بایت قدامی ) و در مواردی ناحیه دندان های عقبی
( اپن بایت خلفی ) ممکن است مشاهده شود.
عوارض اپن بایت

۱) مشکل زیبایی
۲) اختلال در تکلم
۳) اختلال در خوردن غذا
عوامل شایع ایجاد ناهنجاری اپن بایت
۱) عوامل محیطی مثل عادت مکیدن انگشت یا پستانک به مدت طولانی
۲) عوامل ارثی مثل کشیده و بلند بودن ارتفاع صورت به خصوص در قسمت تحتانی ( اپن بایت اسکلتی) که معمولا ثانویه به رشد به سمت پایین قسمت خلفی فک بالا است.
۳) سایز بسیار بزرگ زبان
۴) تنفس دهانی
درمان
برحسب عامل ایجاد کننده (عوامل ارثی یا محیطی مثل عادات) ، نوع ناهنجاری (دندانی یا فکی) ، شدت ناهنجاری و سن بیمار می تواند شامل ارتوپدی فک در سنین رشد، استفاده از دستگاه گارد زبان، درمان های ارتودنسی ( با کشیدن یا بدون کشیدن دندان ) و در مورد بعضی اپن بایت های اسکلتی استفاده از پیچهای مخصوص ( Miniscrew ) ودر موارد بسیار شدید درمان ارتودنسی همراه با جراحی فک باشد.

روشهای مختلف بستن اپن بایت: شکل راست دستگاه گارد زبان، وسط ارتودنسی و استفاده از کش، سمت چپ استفاده از پیچهای مخصوص
ویدئوی بستن اپن بایت با دستگاه عادت شکن گارد زبان
ویدئوی بستن اپن بایت با ارتودنسی و کش
ویدئوی بستن اپن بایت با کمک پیچهای مخصوص ( Miniscrew )
ویدئوی بستن اپن بایت با ارتودنسی همراه جراحی فک