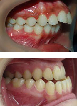
در حالت نرمال سیستم دندانی ، دندانهای فک بالا کمی از دندانهای فک پایین جلوتر هستند ( ۲ تا ۳ میلیمتر).
حالت نرمال سیستم دندانی

در صورتیکه این فاصله افزایش یابد و یا برعکس کاهش یافته ودندانها نوک
به نوک شده و یا فک پایین و یا دندانهای فک پایین جلوتر از دندانهای فک بالا
قرار گیرند ناهنجاری عقب یا جلو بودن فکین در فرد وجود دارد.
علت این ناهنجاری می تواند ناشی از مشکلات فکی ( ناهنجاری اسکلتی ) و یا
دندانی ( جلو یا عقب بودن قوسهای دندانی ) و یا ترکیبی از هر دو حالت باشد.
همچنین ممکن است یک فک درگیر بوده و یا هر دو فک نیز در بروز مشکل دخیل باشند که در این حالت شدت ناهنجاری بیشتر خواهد بود.
در مواردی فک بالا جلو و یا فک پایین عقبتر است که به این نوع ناهنجاری ناهنجاری کلاس ۲ گفته می شود.
درمواردی هم فک بالا عقبتر بوده و یا فک پایین جلوتر است که به آن ناهنجاری کلاس ۳ می گویند.

بطور کلی شیوع ناهنجاری کلاس ۲ در جامعه ایرانی بیشتر از ناهنجاری کلاس ۳ است.
ناهنجاری عقب و جلو بودن فکین می تواند تنها ناهنجاری موجود در یک فرد باشد و یا در مواردی ممکن است همراه با سایرناهنجاریها مثل ناهنجاریهای مربوط به همپوشانی دندانها و یا ناهنجاریهای عرضی فک مشاهده شود.
جهت کسب اطلاعات بیشتر در مورد هرکدام از این ناهنجاریها روی نام ان در بالای صفحه کلیک نمایید.