دندان غایب ( Missing )

 

علل غیبت دندانها

۱) عوامل مادرزادی ( ارثی ): دراین حالت جوانه دندان دائمی تشکیل نمی شود . شایعترین  دندان دچار غیبت ، دندان عقل می باشد و پس از آن دندان لترال ( دندان کناری جلو ) و یا دندان آسیای دوم کوچک دائمی ممکن است دچار غیبت شوند. 

۲) بعضی بیماریهای خاص مادرزادی  مثل سندرم اکتودرمال دیسپلازی که علاوه بر کمبود دندانها ، درگیری پوست و مو نیز مشاهده می شود.

۳)  عوامل ثانویه مثل کشیدن دندان های دائمی توسط دندان پزشک 

شیوع

غیبت مادرزادی دندانها ( بدون در نظر گرفتن دندان عقل )  در نژادهای مختلف متفاوت است و در نژاد ایرانی  حدود

٪ ۱۰-۵است.  

عوارض

درمان

بر حسب نوع رابطه دندانی ، مقدار فضای موجود، تعداد دندانهای دچار غیبت و عوامل دیگر ممکن است شامل باز نمودن فضا جهت جایگزینی دندان غایب با ایمپلنت و یا پروتز و یا بستن فضای دندان غایب توسط درمان ارتودنسی باشد.

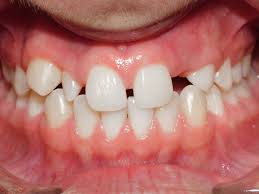
شایع ترین دندان های دچار غیبت مادرزادی دندان کناری جلویی ( لترال ) و یا آسیای دوم کوچک می باشد.

ویدئوی بستن فضای دندان لترال غایب با ارتودنسی 

اطلاعات تماس

Copyright © 2017 Plusnet.ir Industries All Rights Reserved.